セラミック治療

セラミックの治療

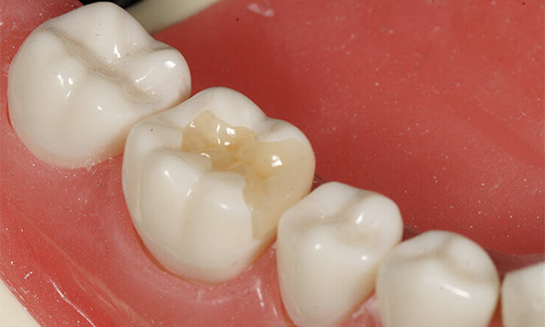
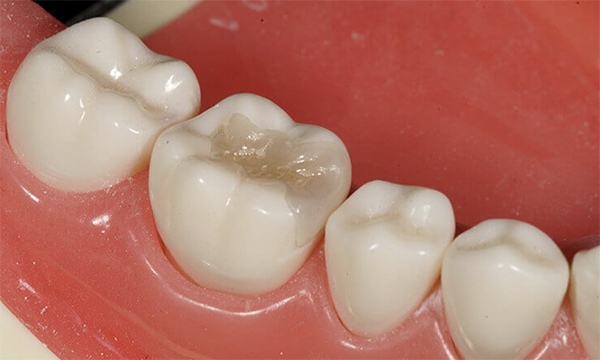
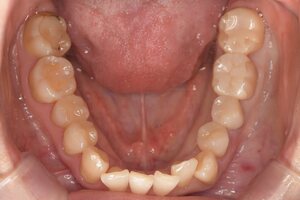
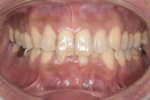
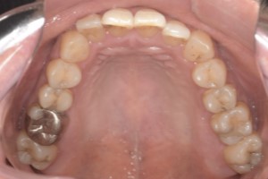
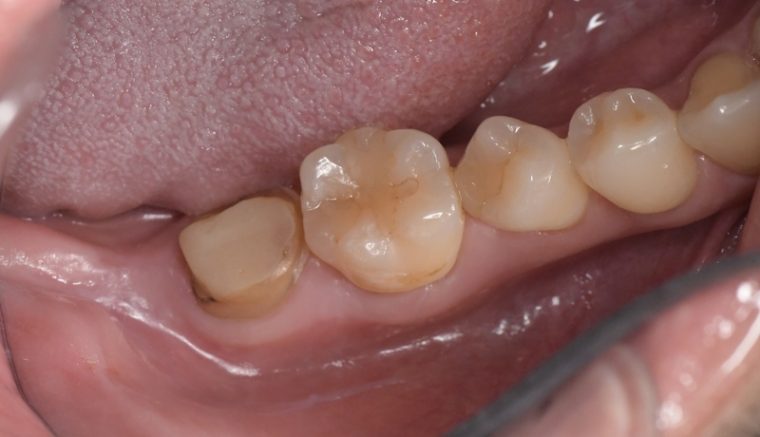
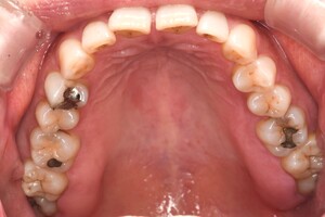
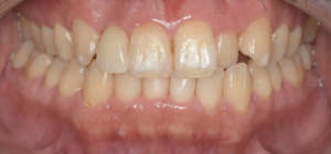
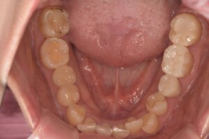
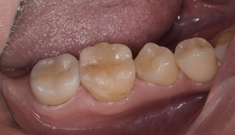
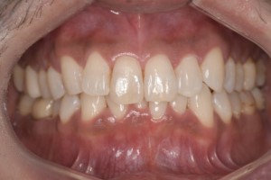
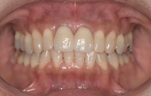
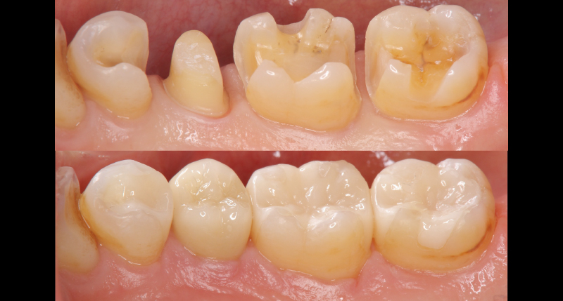
詰め物や被せ物が入る前とセット後それぞれの比較画像

日常生活でよく目にするものではお茶碗や陶器などがセラミックになります。歯科治療ではインレー(詰め物)やクラウン(被せ物)、ラミネートベニアなどに使用されています。セラミックは汚れがつきにくい、虫歯になりにくいなどの特徴があります。少し前までは金属が歯科治療の中では主流でしたが現在はセラミックでの治療がより推奨されるようになってきました。

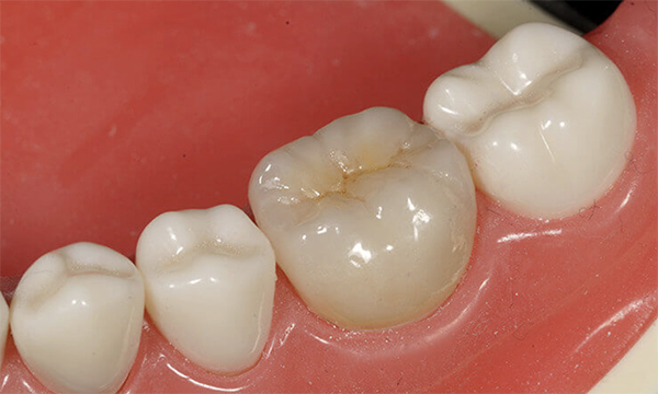
上記症例の詳細情報

現在の治療費と異なる場合がございます。最新の治療費は料金表をご確認ください。
年齢・
性別
30代・女性
主訴左下虫歯を治したい
治療内容左下467はセラミックインレーでの治療
左下5は虫歯が神経まで達していたため根管治療後セラミッククラウン治療
治療費合計275,000円
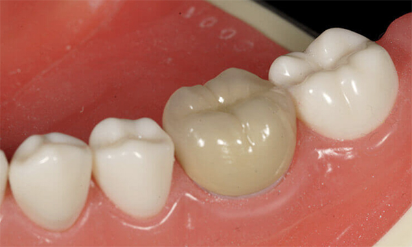
詰め物(セラミックインレー)
¥55,000 ×3
被せ物(セラミッククラウン)
¥110,000
治療期間約1ヶ月
リスク・
副作用
インレー部は虫歯が深かったため根管治療になる可能性あり

セラミックの
メリット、デメリット

メリット

  1. 虫歯、歯周病になりにくい
  2. 金属は汚れがつきやすいと言われています。よく錆びた硬貨などを見たりしませんか?それにより二次的な虫歯や歯周病になってしまうことがあります。セラミックは陶器やお茶碗と同じでツルツルしているため細菌や汚れがつきにくく虫歯や歯周病になりにくいと言われています。

  3. 見た目が綺麗
  4. 金属色がないことにより見た目が綺麗です。セラミックはオーダーメイドで作られていて患者様に合わせた色、透明度、また再現性にとても優れています。

  5. 変色がない
  6. 金属はそれ自体に変色はないですが歯茎に金属色が溶け込んでいきます。これはメタルタトゥーと呼ばれ一度変色してしまうと自然に治ることはありません。プラスチック(CR)は周りに対する変色はないですがプラスチック自体が変色していきます。 セラミックに関してはそれ自体も周りも変色させるようなことはありません。

  7. 金属アレルギーがない
  8. 金属アレルギーがある人はもちろん、金属を使用することにより後発性の金属アレルギーになることもあります。セラミックに関しては一切金属を使用していないためそのような心配はありません。

デメリット

  1. 欠ける事がある
  2. セラミックは硬い材料なのですが脆い材料でもあります。ガラスと同じで触る分には硬く割れないですが、ぶつけたり衝撃を与えると割れてしまいます。

  3. 歯を削る
  4. セラミックは衝撃に脆い分、歯を深く削り厚みをもたせる必要があります。そのため最初はしみたり、お痛みが出ることもあります。

  5. 値段が高い
  6. セラミック治療は保険適応ではないため値段が高いです。まだまだセラミックが保険適応になることはないと思われます。

  7. 定期的な検診が必要
  8. セラミックを入れたからといって終わりではありません。セラミックを入れたことにより安心される方もいますが結局定期検診に来なければ歯の寿命を延ばすことはできません。

前歯と奥歯のセラミック

セラミックの歯の画像

セラミックの種類は複数あり、部位によって用途が変わってきます。前歯に関しては機能面よりも審美性、奥歯に関しては審美性より機能性を求められる方が多いんじゃないでしょうか?当院で使用しているセラミックはe-max(陶材)、ジルコニア(人工ダイヤモンド)になります。e-maxは審美的に優れ、ジルコニアは硬度、機能面で優れます。

前歯部セラミック対応

  • ジルコニアボンド
  • オールセラミック
  • ジルコニアステイン
  • メタルボンド(裏打ちは金属)

臼歯部セラミック対応

  • ジルコニアボンド
  • オールセラミック
  • ジルコニアステイン
  • ジルコニア
  • メタルボンド(裏打ちは金属)

セラミックは保険でできるの?
値段は?

CADCAM冠適用部位についての画像

セラミック治療は保険ではできません。これは当院だけではなく全ての歯科医院で保険では現状できないです。しかし患者様から保険でセラミックができますよね?と質問されることもあります。

おそらくCADCAM冠のことを言われているのだと思います。CADCAM冠は数年前から保険でできるプラスチックの白い被せ物になりますが決してセラミックではありません。

それぞれの価格帯

セラミック
インレー
66,000円
セラミック
クラウン
132,000円
CADCAM
約8,000円(保険適応)
※2025年4月1日以降の価格となります

セラミックは
虫歯になりにくい?

顎に手を当て考える女性

嫌われる銀歯

世界的に「メタルフリー」という言葉が使われるようになり歯科治療、材料が進化する中銀歯を第一選択という考え方は変わってきました。確かにセラミックを入れても虫歯になることはあります。歯と詰め物の間は顕微鏡などで見れば隙間はあいていて細菌が入って虫歯が広がる可能性もゼロではないです。銀歯は平均寿命が約5年と言われています。

セラミックはツルツルしているため汚れが付きにくく、金属と比べるとはるかに精度が良く歯にフィットしてくれるため再発率は少なくなります。

インレーとクラウン?
セラミック治療の種類

顎を手に置き、白い歯を見せながら微笑む女性の口元

詰め物(インレー)と
被せ物(クラウン)

虫歯治療では多くの場合詰め物か被せ物で覆うことによって治療が終わります。虫歯がかなり小さければその場でCRというプラスチックで埋めて終わる事ができますが虫歯が大きいとインレーと言われる型取りタイプの詰め物、また虫歯が全周を覆っていたり、根の治療をした歯に関しては全てを覆うクラウンと言われる被せ物になります。

インレーとクラウンにはそれぞれ保険適応と自費の素材がありセラミックは自費診療のみ適応になります。

セラミックと歯ぎしりの相性

割れた陶器のお皿

歯ぎしり食いしばり予防の
マウスピース(ナイトガード)

歯ぎしりや食いしばりは無意識下の中で行われている事がほとんどで皆さん自覚がありません。しかしお口の中を見ると歯ぎしりや食いしばりをしているかがすぐにわかります。例えば歯のすり減り、舌頬への噛み跡、下顎の骨の膨らみなど歯ぎしりの兆候はいろいろな形で見られます。

セラミックは硬く歯ぎしりにより噛み合う歯がすり減ってしまうこともあれば脆いためセラミック自体が割れたりしてしまう事があります。

ただ無意識下の中で行われてるものを治療することは不可能に近いです。そのため歯ぎしりや食いしばりをしても大丈夫なように予防する事が重要になってきます。歯ぎしり食いしばり予防ではマウスピース(ナイトガード)を使用する事が一番効果的です。

ナイトガードを使用することにより歯、顎、詰め物、被せ物を守っていく事が健康寿命につながります。

歯医者がセラミックを
すすめる理由

陶器のマグカップにイラストを描いている様子

歯の価値は1本100万円

よくセラミックと聞くと高いし、お金儲けと思う方もいるのではないでしょうか?確かにセラミックは保険の銀歯と比べると高いです。しかし銀歯と比べるとメリットも多々あります。歯医者がセラミックをすすめる1番の理由は他の材料と比べて虫歯、歯周病になりにくいからです。

やはり虫歯治療をすればするほど歯の寿命は短くなっていきます。歯の価値は1本100万円と言われていて失えば失うほど期間も費用もかかってきてしまいます。セラミックを入れたら大丈夫というわけではないですが予防的観点からもおすすめしております。

セラミックは高い?安い?

電卓と赤いハートに十字マークの書かれた物の写真

比較的安価でセラミックを提供

セラミックが他の材料よりも高いには理由があります。セラミックは材料自体も高いですがセラミックを扱うには技術経験が必要です。そのためセラミックの詰め物や被せ物を製作する技工士さんへの費用がかかってきます。この費用が金属よりもはるかにかかってきます。

当院では様々な努力により、比較的安価でセラミックを提供する事ができるようになりました

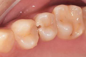
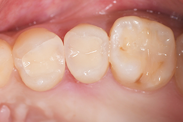
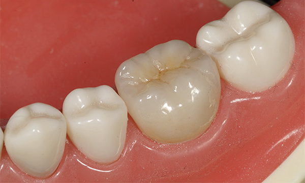
セラミックの症例

現在の治療費と異なる場合がございます。最新の治療費は料金表をご確認ください。

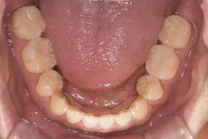
CASE 1

Before

症例1

After

症例1

基本情報

年齢・性別 18歳・女性
主訴 左上4、5番を白い素材で治したい。
治療内容 左上4、5番をハイブリットセラミックインレーにて治療
治療費 合計66,000円
ハイブリットセラミックインレー33,000円×2本(2022年10月現在)
治療期間 約2週間
リスク・副作用 ・歯ぎしり、食いしばりにより割れる可能性があります。
・神経が生きている為、しみることがあります
特記事項 ・プラスチックが入っている分、柔らかいので割れてしまう場合があります。
・治療後にはマウスピースの装着をしていただきます。
・かみ合わせが強い方、奥歯にはおすすめできない場合があります。
・プラスチックが入っている為、経年的に変色してしまうことがあります。

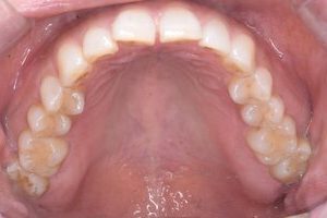
CASE 2

Before

症例2

After

症例2

基本情報

年齢・性別 35歳・男性
主訴・治療部位 主訴:左下奥歯が治療途中なので綺麗にしたい
治療部位:左下7番
治療内容 左下7番のジルコニアステインクラウンの型どりを行い、装着した。
治療費 ジルコニアステインクラウン:121,000円
(2022年7月現在)
治療期間 約2週間
リスク・副作用 ・色は6色の選択式
・精密な色見を再現できない
・かみ合わせの調整により表面の色が剥がれることがある
治療方針 左上7番は他院にて治療途中だったため、ジルコニアステインクラウンの型どりを行い装着する
特記事項 ジルコニアステインクラウンはジルコニアに専用の着色剤で色付けをし、天然の歯に近づけていきます。
ジルコニアクラウンよりも透明度、強度において優れた材料です。
担当者所見 見た目の良さ、安定した強度がある被せ物を希望されたため、ジルコニアステインクラウンにて治療

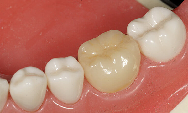
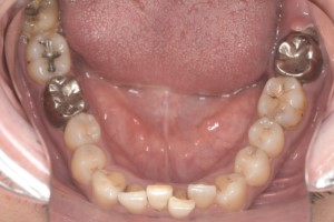
CASE 3

Before

症例3

After

症例3

基本情報

年齢・性別 35歳・男性
主訴・治療部位 治療部位…左下4番
主訴…着色が気になる
治療内容 左下4番 セラミックインレー
治療費 セラミックインレー 60,500円
(2024年6月現在)
治療期間 2週間
リスク・副作用 ・虫歯が深い場合は、治療後に軽い痛みが出たり、冷たい物がしみる可能性があります。
通常は1週間ほどでおさまりますが、あまりにもしみる、かむと痛い場合は神経の治療に移行する場合もあります。
・セットした直後はかみ合わせが高い、きついなどの違和感が出る場合があります。
1週間ほどで症状は落ち着いてきますが、気になる場合は調整致します。
治療方針 コンポジットレジンを除去し、セラミックインレーに変更
特記事項 定期検診にて着色が気になるとのことで確認した際に、以前治療をされていたコンポジットレジンの詰め物の下で虫歯になっていたので、今回コンポジットレジンを除去し、セラミックインレーに変更となりました。
担当者所見 見た目がとても自然で、今回セラミックインレーを選択してよかった!とのことです

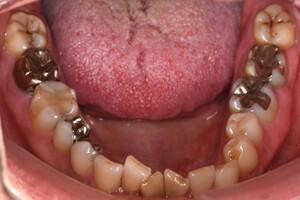
CASE 4

Before

症例4

After

症例4

基本情報

年齢・性別 27歳・男性
主訴・治療部位 治主訴:事故で前歯が欠けた
治療部位:右上1.2番、左上1番
治療内容 右上1.2番、左上1番をジルコニアボンドクラウンにて治療
治療費 合計:551,100円
・内訳
ジルコニアボンドクラウン:1本 176,000円 ×3
Tec(仮歯):1本 5,500円 ×3
Tec(仮歯)調整代:1本 1,100円 ×3本 2回分
(2024年6月現在)
治療期間 約1ヶ月
リスク・副作用 ・歯ぎしり、食いしばりが強いとセラミックが割れることがあるため、マウスピースで保護する必要があります。
治療方針 事故により前歯が欠けてしまったため、修復したいとのことでご来院された患者さまです。
まずは最終的な形態に反映する為仮の歯を入れ、その状態で数週間過ごして頂き、機能や形態、歯ぐきの状態を確認していきました。
その後、何度か仮の歯を調整し問題がない事を確認した上で最終的な被せ物の型どりを進めていきました。
完成したジルコニアクラウンをまずは試しに仮付けし、見た目や機能を患者さまと確認してから装着しました。
特記事項 ジルコニアボンドクラウンは内面がジルコニア、表面がセラミックで出来ている被せ物です。
非常に耐久性が高く割れにくい、天然歯のような自然な透明感を再現できるのが特徴です。
担当者所見 今後は検診に来ていただきかみ合わせの調整など、定期的に行っていきます。

CASE 5

Before

症例5

After

症例5

Before

症例5

After

症例5

Before

症例5

After

症例5

基本情報

年齢・性別 45歳・男性
主訴・治療部位 主訴:歯をきれいにしたい
治療部位:
・左上5、6
・左下4、6
・右上4、5、7
・右下7
セラミックインレー

・右上6、右下6
・左下7
オールセラミッククラウン

・右上1、2
・左上1、2
コンポジットレジン

・全顎 オフィスホワイトニング3回×3
治療内容 ・左上5、6
・左下4、6
・右上4、5、7
・右下7
セラミックインレー

・右上6、右下6
・左下7
オールセラミッククラウン

・右上1、2
・左上1、2
コンポジットレジン

・全顎 オフィスホワイトニング3回×3
治療費 合計 882,700円
【内訳】
・左上5、6
・左下4、6
・右上4、5、7
・右下7
セラミックインレー1本 60,500円×8本

・右上6、右下6
・左下7
オールセラミッククラウン1本 121,000円×3本

・右上1、2
・左上1、2
コンポジットレジン1本
約1,500円(保険診療3割負担)×4本

・全顎 オフィスホワイトニング3回×3
オフィスホワイトニング1回 3,300円×3回×3回
(2024年7月現在)
治療期間 約半年
リスク・副作用 ・歯ぎしり、食いしばりが強いとセラミックインレーが欠けてしまうことがあります。
・破折や脱離のリスクを下げるためにもナイトガードを使用して頂く必要があります。
・オフィスホワイトニング後は、歯が敏感になるためしみやすくなります。
・ホワイトニングを繰り返しても白くなるスピード、白さの限界には個人差があります。
治療方針 以前、プラスチックや金属の詰め物で治療を行ったところが二次的な虫歯になっていたため、虫歯を除去しセラミックでやり替えていきました。
その後、ホワイトニングを行いました。
特記事項 ・治療と並行して、ブラッシング指導、歯石除去も行った。
担当者所見 自然な色味や形で作製することが出来て、患者さまも大変満足されていました。
今後は定期的に検診でメインテナンスを行なっていきます。

CASE 6

Before

症例6

After

症例6

基本情報

年齢・性別 37歳・男性
主訴・治療部位 主訴:左下痛い

治療部位:
・左下7 ジルコニアクラウン

・右上2 ジルコニアボンドクラウン

・右上4、6
・右下6、7
・左下6
ジルコニアインレー

・右上1、3、5
・左上1、2、3
コンポジットレジン修復
治療内容 ・左下7 ジルコニアクラウン

・右上2 ジルコニアボンドクラウン

・右上4、6
・右下6、7
・左下6
ジルコニアインレー

・右上1、3、5
・左上1、2、3
コンポジットレジン修復
治療費 合計 493,000円

【内訳】
・左下7 ジルコニアクラウン 60,500円

・右上2 ジルコニアボンドクラウン 176,000円

・右上4、6
・右下6、7
・左下6
ジルコニアインレー 49,500円×5

・右上1、3、5
・左上1、2、3
コンポジットレジン修復(保険診療)
1本約1,500円×6
(2024年7月現在)
治療期間 約5ヶ月
リスク・副作用 ・かみ合わせが強い場合、被せものが欠けたり割れたりする可能性があります。
また、根管治療後の歯は天然の歯よりも脆く、破折のリスクもあります。
そのため、マウスピースの着用をお願いしております。
治療方針 左下が痛いとご来院された患者さまです。
左下7番が虫歯になっており、除去を行なっていったところ神経まで感染していたため根管治療をし、最終的にジルコニアクラウンを装着しました。
その後他の虫歯の部位も治療を進めていきました。
右上2は虫歯により根しか残っていない状態だったため、根管治療を行い、ジルコニアボンドクラウンにて修復しました。
1度、仮の歯に置き換えて実際に数日間過ごしていただき見た目や形を患者さまと確認してから最終的な被せ物を装着しました。
他の虫歯も除去し、ジルコニアインレー、コンポジットレジンで修復していきました。
今後は定期検診で経過を確認していきます。
特記事項 ・虫歯の治療と並行して歯周病治療も進めていきました。
・ジルコニアは人工ダイヤモンドの素材から出来ており、強度に優れた素材です。
担当者所見 初診時、歯ぐきの腫れや出血、歯石の付着がありましたが治療と一緒に歯石除去やブラッシング指導を行い、歯ぐきの状態も改善しました。
詰め物、被せ物も自然な色味、形で製作することが出来て、患者さまにも大変満足頂けました。

CASE 7

Before

症例7

After

症例7

基本情報

年齢・性別 64歳・女性
主訴・治療部位 右上1番、左上1番
治療内容 右上1番と左上1番のオールセラミッククラウンの型どりを行い、装着しました。
治療費 合計:268,400円

・内訳
オールセラミッククラウン:1本 121,000円×2
オフィスホワイトニング:1回 3,300円×4
Tec (仮歯):1本 5,500円×2
Tec(仮歯)調整代:1本 1,100円×2
(2024年12月現在)
治療期間 約2ヶ月
リスク・副作用 歯ぎしりや食いしばりが原因で被せものが割れてしまう可能性があります。
治療方針 前歯の根元が見えるのが気になると来院された患者さまです。
元々装着していた被せ物を除去し、土台を整えた後仮歯を入れました。
全体的に色調を明るくしたいとのことだったのでホワイトニングを4回行い、型取りをして出来たオールセラミッククラウンを装着しました。
特記事項 セラミックは天然歯に近似した硬さで、かみ合う歯を傷付けにくいです。
しかし咬合圧が強い場合被せ物が割れてしまう可能性があるためナイトガードは装着する様にしましょう。
担当者所見 歯周病のため動揺が残存しており、2本を連結したオールセラミッククラウンを装着しています。

CASE 8

Before

症例7

After

症例7

基本情報

年齢・性別 31歳・男性
主訴・治療部位 主訴:虫歯を治したい
治療部位:右下7番、左下6番、7番
治療内容 右下7番、左下6番、7番 ジルコニアインレー
治療費 合計:148,500円
ジルコニアインレー
1本 49,500円 ×3本
(2025年3月現在)
治療期間 約2ヶ月
リスク・副作用 ・深い虫歯を除去した場合は、セット後もしみる、噛んだ時に痛むなどの症状が出る場合があります。
通常は1週間ほどでおさまります。
・破折や脱離のリスクを下げるためにもナイトガードの使用を推奨しております。
治療方針 下顎の7番に左右両方とも歯ぐきの下に虫歯が見られ、歯周ポケットも深くなっている状態でした。
まず歯ぐきの下にある虫歯の治療をするために歯ぐきを下げる処置から始めました。
その後、歯ぐきの治癒を約1ヶ月待ってから虫歯の治療を行いました。
その際左下6番も銀歯の下で二次的な虫歯になっていたため一緒にやりかえていきました。
特記事項 ・歯ぐきの下にできた虫歯を露出させるため、意図的に歯ぐきの位置を下げる治療が必要になる場合があります。(ディスタルウェッジ)
・金属は歯とくっつかないため、歯と詰め物の間から細菌が入り込み、二次的な虫歯になる可能性があります。
担当者所見 患者さまはもともと金属が入ってる事が気になっていたとの事なのでやり変えることができて良かったですと言っていただけました。

CASE 9

Before

After

Before

After

基本情報

年齢・性別 60歳・女性
主訴・治療部位 全体的に綺麗にしたいとのことで来院されました。
左右下7番、右上4~7番、左上6、7番、右下4〜6番、左下6番
治療内容 左右下7番→ジルコニアステイン
右上4~7番、左上6、7番、右下4〜6番、左下6番→セラミックインレー
治療費 合計:884,600円
・内訳
ファイバーコア:16,500円×2
仮歯:3,300円×2
ジルコニアステイン:120,000円×2
セラミックインレー:60,500円×10
(2024年12月現在)
治療期間 9ヶ月
リスク・副作用 虫歯が大きく神経の近くまで削っている場合、刺激が伝わりやすく、しみる等の症状がでることがあります。
かみ合わせに慣れない場合、噛んだり食事をしたときに痛みが出ることがあるので調整が必要。
一定期間経過観察をしても症状が治まらない場合は歯の神経をとる処置が必要となることがあります。
治療方針 上の左右6番には古いアマルガムの詰め物がしてあったので外してセラッミクに変更しました。
その他の銀歯も外してセラミックに変更しました。左右下7番は虫歯が深かったため神経の治療をしてからジルコニアステインに変えました。
特記事項 型どり後の仮フタの期間はガムやキャラメル、お肉などの粘着質な食べ物を食べた際やフロスの動かし方によっては仮フタが取れてしまうことがあります。
担当者所見 全て白い詰め物になり全体が綺麗になったことで大変満足されていました。
治療ヵ所が多いので今後もメンテンナスでかみ合わせなどチェックしていきます。

セラミックインレー

クラウン

クラウンを歯に装着するイメージ

クラウンについて

神経の治療や膿が溜まってしまい根の治療を行なった歯に対しては第一選択としてクラウンが用いられます。

神経があっても虫歯や外傷などにより大きく歯の頭部分がなくなってしまった場合はつめ物ではなくかぶせ物を利用します。

クラウンの材質

  • 金属(シルバー、ゴールド)
  • プラスチック
  • セラミック
  • ジルコニア
  • またこれらを組み合わせたクラウンも
    あります。

保険診療と自由診療で利用する材質の
違いについて

保険診療で利用できる材料は金属(シルバー)、CADCAM(プラスチック)の2種類からなります。CADCAMは保険適応のルールがあるため全ての人、全ての歯にできる訳ではありません。

自費診療で利用する材料はセラミック、ジルコニア、金属(ゴールド)になりセラミック、ジルコニア だけでも複数種類があります。基本的には金属は使用しません。

かぶせ物(クラウン)の種類

ジルコニアボンド

裏打ちがジルコニアで表面がセラミックのため非常に丈夫で綺麗なかぶせ物

東松原歯科のジルコニアボンド

オールセラミック

e-maxと言われている全てがセラミックでできている
かぶせ物

東松原歯科のオールセラミック

ジルコニアステイン

ジルコニアにステイニングという方法でグラディエーションをつけた物

東松原歯科のジルコニアステイン

ジルコニア

ジルコニア単体の物

東松原歯科のジルコニア

メタルボンド

裏打ちがメタルになっていて表面が陶材で覆われた物

東松原歯科のメタルボンド

CADCAM

プラスチックでできたかぶせ物。保険対応

東松原歯科のCADCAM冠
CADCAM

シルバー

全てが金属でできたかぶせ物。保険対応

東松原歯科のシルバークラウン

前装冠

裏打ちが金属で表面がプラスチックで覆われているかぶせ物。前歯保険対応

東松原歯科の前装冠
セラミッククラウン

ブリッジ

ブリッジのイメージ画像

ブリッジについて

歯と歯の間に欠損が認められる場合に利用することができます。一番奥の歯が欠損している場合、できないことはないですがあまりお勧めをしていません。
また、前後の歯を削るため健康な歯である場合も、あまりお勧めはできません。

ブリッジの材質

  • 金属(シルバー)
  • セラミック
  • ジルコニア
  • またこれらを組み合わせたブリッジもあります。

クラウンとは異なりプラスチックを選ぶことができません。

保険診療と自由診療で利用する材質の違いについて

基本的にはクラウンと一緒ですが保険は金属のみで自費になると複数種類から選べます。

また保険では残っている歯の数、種類によってブリッジ自体の適応が不可能な場合があります。

詰め物(インレー)

インレーを歯に装着するイメージ

詰め物(インレー)の種類

オールセラミックインレー

e-maxと言われる全てがセラミックでできている詰め物

東松原歯科のオールセラミックインレー

ジルコニアインレー

人工ダイヤモンドと言われている最も頑丈な
詰め物

東松原歯科のジルコニアインレー
セラミックインレー

東松原歯科 診療内容

患者様のお悩みを解決する
総合診療の東松原歯科

虫⻭治療から⻭を失ってしまったかたへのインプラント、入れ⻭、美しい⻭を実現する審美⻭科(⻭のセラミック)やホワイトニングまで、総合診療を提供しております。

急な痛み、つめ物が取れた・外れた等、お口の中に困りごとがありましたら、お気軽にご相談ください。