根管治療

根管治療が必要な歯の症状

  • 噛むと痛い
  • 冷たいものがしみる
  • 温かいものがしみる
  • 歯ぐきや顔が腫れた
  • 何となく違和感がある
  • 何もしなくてもズキズキする
  • レントゲン撮影で歯の神経に病気がみられる

このような症状がある場合、根管治療が必要になる可能性があります。

痛みの原因と症状について

大きく分けて2つの原因があります。

1:歯の神経に刺激が加わっているとき

むし歯の進行・歯の破折・知覚過敏・かみ合わせ不良等により、歯の神経に刺激が加わっていると痛みがでます。冷たいものがキーンとしみたり、なにもしていなくても痛みがでることもあります。

2:歯の神経の先に膿がたまっているとき

むし歯の進行を放置したり、一度治療をした歯でも神経の穴の先で膿がたまると痛みがでます。膿は細菌の感染が原因です。ズキズキしたり、夜も眠れないほどの痛みになることもあります。

根管治療の具体的な治療内容

歯の根っこ(神経)の中から痛みや腫れの原因である「感染した汚染物」を、取り除く治療です。

針のような道具を使って、感染した汚染物をとりのぞいていきます。
汚れを取り除いた箇所をキレイに清掃・消毒して、お薬で埋めるまでが根管治療です。

ニッケルチタンファイル

歯の神経の治療の際に、根の曲がりが強すぎると従来のステンレスの器具では根の先までのアクセスするために、歯の上部をより多く削らなければなりませんでした。
ニッケルチタンファイルを使用すると、根っこの形態が従来に比べてそのまま維持された状態で根の先にアクセスできるようになりました。
再治療の時など、根っこの形態が保存されているか否かで成功率に差が出てきます。

当院ではCTで根の状態を評価し必要に応じてニッケルチタンファイルを使用します。

ファイルの曲がり方の違い

歯の神経が残っている場合の
治療方法

歯の神経(歯髄)が残っている場合の治療方法は「抜髄」とよばれます。文字通り「歯の神経を抜く」治療です。

抜髄の流れ

  1. 麻酔をする
  2. 神経の入口まで歯を削る
  3. 針のような道具を使って、歯の神経を
    取り除く
  4. 神経をとった空洞を清掃、消毒する
  5. キレイになるまで繰り返す
    (数回かかることがあります)
  6. キレイになった神経の空洞に最終的なクスリを詰める
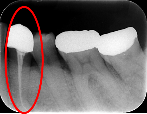
  7. レントゲン写真で状態を確認する

その後、歯そのものの修復をおこなっていきます。

根管治療の期間 根管治療の費用

歯の神経が残っていない場合の治療方法

歯の神経が残っていない場合は「感染根管処置」という治療方法になります。

神経の穴の中にたまった感染物を取り除く治療です。症状が強いとき以外は、基本的に麻酔は必要ありません。

感染根管処置の流れ

  1. 神経の入口まで歯を削る
    (かぶせ物がある場合は取り
    外します)
  2. 針のような道具をつかって神経の穴の中の感染物を取り除く
  3. クスリで神経の穴を清掃、消毒する
  4. 根の中がきれいになるまで繰り返す(長期化する場合もあります)
  5. 清潔になった神経の穴に最終的な
    クスリを詰める
  6. レントゲン写真で状態を確認する

その後、歯そのものの修復をおこなっていきます。

根管治療を中断、根管治療をしなかった場合におこる症状

根管治療を中断したり放置していると、歯の神経の穴の中で細菌の感染がおこるだけなく、歯そのものも弱くなってしまいます。
その結果、痛みがでる・腫れる・歯が折れるといった症状が起こりやすくなります。

抜歯しなければならないケース

次のようなケースでは抜歯の可能性があります。

  • 歯が破折している
  • 膿がたまりすぎている
  • むし歯がかなり進行している
  • 歯周病がかなり進行している

当院の痛みに対する配慮

炎症が強く出ている際に無理に治療をすると痛みや腫れが更に強くなることがあるためそのような場合では炎症を抑え痛みが出なくなるよう配慮しながら行なっていきます。
当院では、麻酔で使用する針を35Gという認可されている中で最も細い針を使用しています。また表面麻酔を塗ることで、針を刺す際の痛みを軽減できます。麻酔液を注入する速度が調節できる電動麻酔器を使用しているため、注入時の痛みも軽減されます。

ラバーダムとは

予防歯科

ラバーダムについて

ラバーダムは虫歯や神経の治療をする時にゴム製のシートを使用して、治療をする歯とそれ以外の歯や舌、唾液などを隔離する際に使用する歯科の治療で使用する道具の1つです。
治療する部分に、多くの細菌が含まれている唾液が触れないようにして感染症を引き起こさないようにします。

ラバーダムが必要な理由

唾液の中には数十憶も細菌がいるといわれていて、根の治療中に唾液が入り込むと感染する恐れがあります。ラバーダムを使用することで細菌感染の予防ができるので、神経を取った後の根の治療の成功率が上がって再発のリスクを減らすことができます。また、シートで覆われているので、舌や頬を傷つける心配がなく、かぶせ物を誤飲する心配もありません。

ラバーダムを用いる治療

予防歯科

1.歯の根の治療

ラバーダムが効果的なのは歯の根の治療です。なぜかというと、歯の根の治療が成功しない原因の1つとして、細菌の感染があるからです。

ラバーダムを使用すると、唾液の侵入を防いで細菌感染を防ぐことができるので根の治療の成功率が上がります。

根管治療の成功率

2.歯のかぶせ物の治療

歯のかぶせ物がしっかり接着するためには、唾液に触れず接着することが大切です。
上手く接着しないと、歯とかぶせ物の間に隙間ができてしまい、その部分から虫歯になるリスクが高くなります。そのため、ラバーダムで唾液が入らない環境を作ってしっかり接着するようにします。

虫歯とラバーダム

虫歯治療は細菌感染して虫歯になった部分をすべて除去する必要があります。
その後、細菌がいない清潔な状態でつめ物やかぶせ物をすることで治療後に長く使用できます。そのため、多くの細菌を含む唾液をシャットアウトができるラバーダム防湿はメリットが多い治療方法です。

ラバーダムが苦しいわけ

シートの横から呼吸はできますが、鼻呼吸が必要になります。
そのため鼻が詰まっている方だと呼吸がしにくい場合があるため、相談しながら治療をすることになります。

見た目は苦しそうに見えますが、実際つけてみるとそれほど苦しくなかったという方が多いです。

ラバーダムは上の歯、下の歯両方必要?

ラバーダムは多くの細菌を含む唾液を排除することが目的なので、下の歯は特に必要になります。上の歯も寝た状態で行うので、唾液が着く可能性があり、ラバーダムを使用すると感染予防に効果的です。かぶせ物の誤飲を防ぐ目的でもラバーダムは上下の歯で行うと安心です。

よくある質問

東松原歯科 診療内容

患者様のお悩みを解決する
総合診療の東松原歯科

虫⻭治療から⻭を失ってしまったかたへのインプラント、入れ⻭、美しい⻭を実現する審美⻭科(⻭のセラミック)やホワイトニングまで、総合診療を提供しております。

急な痛み、つめ物が取れた・外れた等、お口の中に困りごとがありましたら、お気軽にご相談ください。