親知らず

親知らずとは

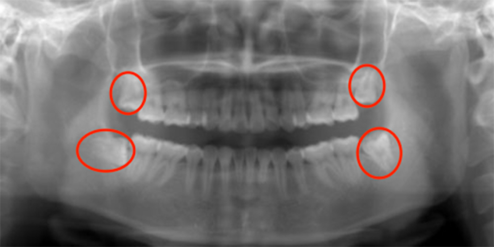
レントゲン画像の親知らず

親知らずについて

親知らずは、第三大臼歯と呼ばれる8番目の歯になります。顎の大きさ、他の歯と同様に生えたり、横に生えたり、完全に埋まっていたり、元々なかったり、人によって全く違ってきます。

親知らずが生える年齢

18歳から20歳くらいで生えてくる方が多いと思いますが、30歳を過ぎて生えてくる方も中にはいらっしゃいます。

親知らずが生えそろっている下の歯のイラスト

生えてくる際の痛みについて

生え方により痛みは変わってきます。歯ぐきを裂きながら生えてくるため歯ぐきから歯の頭が出ようとするときは、歯が出るまでお痛みが続きますが、生えてしまえばお痛みは出ません。横や斜めに生えてくると手前の歯を押すためその痛みが続きます。

半分頭が出ている親知らずのイラスト

親知らずと歯並び

完全に埋まっている親知らずのイメージ

親知らずと歯並びの関係性

よく親知らずのせいで歯並びが悪くなったと聞く事がありますが、研究の中でそのような結論が出ているわけではなく、未だ不透明な部分ではあります。しかし横に生えている親知らずは、間違いなく手前の歯に力を加えているわけであって根拠がなくても可能性としては十分考えられると思います。

完全に埋まっている親知らずのイラスト

矯正の際の親知らず抜歯の意味
(後戻り)

矯正時必ずしも親知らずを抜く必要があるわけではないですが、抜くケースの方が多いと思います。後戻り防止や矯正で並べるスペース確保、無駄な力を他からかけないためなど理由は様々ですが矯正からの抜歯依頼はよくあります。

長い期間、高額な矯正をした後に親知らずが原因で無駄になってしまったら、後悔されると思うので当院では抜歯をお勧めしています。ただし、親知らずを矯正で使うケースも多々ありますのでまずは矯正の専門医と相談してみてください。

歯を指さす女性

親知らずの痛みの原因について

埋まっている親知らずのイメージ

痛みと原因となる要素

  • 親知らず自体が虫歯になったことによる痛み
  • 親知らずが生えてくる力による痛み
  • 親知らず周辺に汚れ(プラーク)がたまり炎症を起こしたことによる痛み
  • 親知らずが伸びてきて頬を噛んだことによる
    痛み

など、親知らずが周りに影響を及ぼして出る痛みがほとんどになります。

親知らずの痛みについて 親知らずが痛いときの治療法とは

親知らずによる症状

  • 腫れ
  • 痛み
  • 頭痛・肩こり
頭を抱える人形

その他

  • プラークの付着による歯周炎、口臭

親知らずのリスクとは

顎をおさえる女性

親知らずのリスクについて

親知らずはまっすぐ生えていればそこまで害を及ぼすことはありませんが生え方によっては様々なリスクがあります。抜いてしまえば解決することがほとんどですが親知らずの抜歯に関してもリスクは存在します。

親知らずのリスク 親知らずが痛いときの治療法とは

当院で対応できるケース

親知らずがあるレントゲン画像

基本的には、どのようなケースでも
対応します

ただ根の先に下顎管が触れているようなケースであれば2回で対応したりしますが歯の頭の部分が下顎管と触れているような稀なケース、親知らず周りが嚢胞になってしまっているケース、全身疾患がある方、外科処置が困難な方に関しては大学病院を紹介させていただくこともあります。

親知らずの抜歯について

いつがベストかと言われると難しい質問ですが、痛みが今後出てしまうリスク、年齢を重ねれば重ねる程骨が硬くなり、抜歯が困難になってしまうことを考えると抜くのであれば早くに越したことはないと思います。

親知らずの抜歯について 親知らずを抜く必要はある?その必要性、痛みや腫れについて解説

抜歯の難易度と費用について

まっすぐに生えている場合

抜歯の難易度 ★☆☆
抜歯にかかる時間 10分〜30分
抜歯の費用 約1,500円/保険診療

横向きに生えている場合

抜歯の難易度 ★★☆
抜歯にかかる時間 30分〜60分
抜歯の費用 約4,500円/保険診療

埋まっている場合

抜歯の難易度 ★★★
抜歯にかかる時間 30分〜60分
抜歯の費用 約4,500円/保険診療

※保険適用の料金は薬代が別途かかります。
※親知らずのはえ方(真っ直ぐや斜め等)や神経に近い場合は追加でCT撮影(別費用金)費が発生する場合があります。
また、親知らずの状態により複数回に分けて抜歯する場合など、状況により発生する費用は異なります。
※矯正治療(自由診療)を目的とした親知らずの抜歯は、保険適用外です。
自由診療の治療に伴う親知らずの抜歯の場合には、下記の検査項目が自由診療費用として発生いたします。
■目安費用
・親知らずの抜歯:6,600円~22,000円
・パノラマレントゲン費用:11,000円
・CT撮影:16,500円

抜歯をお勧めする場合はどんなケースか

  • 親知らずや周りの組織に痛みが出る事が予想
    されるケース
  • 矯正において必要ないケース

必ずしも抜歯しなくて良い場合は
どんなケースか

  • 上下共にまっすぐ生えていてしっかりと噛み合っているケース
  • 骨の中に完全に埋まっていて抜く上でリスクの方が高いケース

抜歯後の注意点
(腫れ、痛み止め、その他)

  • 水で激しくゆすぐと、かさぶたが取れてしまいドライソケットになってしまうため激しくゆすがないでください。
  • 抜いたところを気になって触ったりしてしまうと細菌感染してしまうので触らずに安静にしてください。
  • 出血がある場合はガーゼを30分くらいしっかり噛んでいてください。
  • 激しい運動やお風呂、飲酒など血行がよくなる行為をしてしまうと出血、痛み、腫れに繋がりますので当日は控えてください。
  • 抗生物質は出された分必ず飲むようにしてください。
  • 痛みや腫れに対し氷などで冷やさず、濡れたタオルで抑える程度にしてください。

外科処置後について

親知らずを抜歯する際の流れ

  1. レントゲン、口腔内検査によって抜歯の可否を決める。
  2. 同意書、注意事項の説明
  3. 麻酔
  4. 歯ぐきの切開(親知らずが埋まっている、または横に生えている場合)
  5. 骨の削除(親知らずが埋まっている、または横に生えている場合)
  6. 歯冠の切断(親知らずが埋まっている、または横に生えている場合)
  7. 脱臼による抜歯
  8. 縫合
  9. 消毒

ケースバイケースになりますが基本的な流れはほとんど変わることはありません。

抜歯後の腫れについて

腫れる原因は体調や生え方によります。特に歯ぐきを切る量、骨を削る量により変わってくるため一概には言えませんが埋まっている歯に関しては顔が1.5倍くらいになる可能性もあります。 真っ直ぐ生えていて、埋まっていない歯に関してはほとんど腫れることはありません。

腫れる期間

人それぞれですが3日から1週間程度腫れのピークは続き徐々におさまってきます。2週間以上腫れる方も中にはいます。

危険な腫れ方について

急激に腫れて空気が弾けるような音(パチパチ)や雪をつかんだような感じがあるときは皮下気腫という状態の可能性があり危険なためすぐにご連絡ください。

痛みが怖い方

静脈内鎮静法について

親知らず抜歯の麻酔・種類 よくある質問

東松原歯科 診療内容

患者様のお悩みを解決する
総合診療の東松原歯科

虫⻭治療から⻭を失ってしまったかたへのインプラント、入れ⻭、美しい⻭を実現する審美⻭科(⻭のセラミック)やホワイトニングまで、総合診療を提供しております。

急な痛み、つめ物が取れた・外れた等、お口の中に困りごとがありましたら、お気軽にご相談ください。