虫歯治療

虫歯について

5本並ぶ歯の模型の内1本が虫歯になっている画像

歯医者というと虫歯治療のイメージが強いんじゃないでしょうか?昔は虫歯であればすぐ削って銀歯を詰める治療という感じでしたが今は材料や技術などの進化により治療が少し変わってきています。

ここでは虫歯とは何か?虫歯にならないようにするためには?なったらどうなるの?を少しでも解決できればと思います。

小さな虫歯、放置するとどうなる?

これって虫歯?疑問にお答え!

歯が黒いと虫歯?

確かに歯が黒いと虫歯である可能性は高いですが全てが虫歯なわけではありません。ステインと呼ばれる着色であることも多々あります。

見分け方は難しいですが虫歯であれば触るとボソボソっとした歯に凹凸があるような感覚がありますがステインの場合は凹凸はありません。

小さな虫歯になっている歯のイラスト

また、虫歯治療の後に歯がまだ黒いけど虫歯の取り残しじゃないの?と思ったことがある人もいるかもしれませんが決して取り残しているわけではございません。長い間虫歯があると歯が防御反応を起こし第二象牙質と言われる褐色の新しい歯を作ります。これを削ってしまうとしみたり痛みが更に出てしまう原因となるため削りません。

見分け方は難しいですが虫歯を検知してくれる薬があるためそれを毎回使用し虫歯治療を行なっていきます。

虫歯と口臭

口臭は様々な要因が挙げられますが虫歯もその一つに挙げられます。
虫歯菌の繁殖による匂いや虫歯で穴が開いたところに食べ物のカスが入り腐食した匂いなど虫歯によっても口臭は発生します。

意外と口臭は他人は気づいていても本人が気づいていないことが多くあります。

口元を隠している女性
口臭の原因に
なりやすいもの

銀歯の虫歯

治療をした後に銀歯の下が虫歯になっていた経験のある方もいるんじゃないでしょうか?銀歯で治療をしたからといって虫歯にならないということはありません。ではなぜ銀歯は虫歯になってしまうのでしょうか?

金属の詰め物が入った歯の模型
  1. 銀歯の精度
  2. 銀歯の精度は正直よくありません。
    金属はかなり固く歪んでくれないため歯との密着率は悪いです。

  3. 汚れがつきやすい
  4. よく錆びた小銭を見たことがあると思いますが配分は違えど銀歯の材料はそのような金属と似たような材料で出来ています。ましてやお口の中は常に唾液や細菌がいる中で銀歯に汚れがつきやすい環境が整っています。

  5. 接着剤の劣化
  6. お口の中は常に動いている状況で詰め物にも常に力がかかっています。擦れた接着剤は段々と劣化していき、唾液に溶け流れていってしまいます。そこに虫歯菌が入り銀歯の下で虫歯になっていきます。

セラミックは銀歯と違い精度が高く、汚れがつきにくいため虫歯になりにくいと言われています。接着剤の劣化で外れることはありますがほとんどの場合虫歯になって外れてきているわけではありません。

セラミック治療

虫歯の症状と痛み

虫歯の症状は進行具合により変わってきます。

C0.C1:エナメル質内に留まる虫歯で痛みを感じることは殆どありません。たまにしみたりするくらいだと思います。

C2:象牙質まで進行した虫歯は痛みを伴うことが多々あります。象牙質は象牙細管と呼ばれる細い管でできていて神経までつながっているため冷たいものなどの冷刺激、甘いものなどの化学刺激により痛みを誘発します。

歯が痛み、頬を手でおさえる男性

C3:神経まで達した虫歯になり何もしなくてもズキズキと自発痛がおきます。ここまでいって虫歯だと気付く方が多いです。

C4:歯の根っこのみの状態ですでに神経が死んでしまっていることが殆どで痛みが出てないことが多いです。しかしそのまま放置してしまうと根の先に膿がたまりずーんとした鈍い痛みが出てきます。この痛みは膿が骨を溶かし、歯茎を破ろうとしている痛みで熱いものを食べたりした時に誘発されます。

虫歯は痛みがないから大丈夫というわけではありません。それを放置することから全てのバランスが崩れ、将来歯がほとんどなくなることにもなるのでしっかりと定期検診を受けることが大事になります。

虫歯の痛み、歯科検診へ

歯を削る歯医者削らない
歯医者の違い

歯を削る歯医者と削らない歯医者は虫歯の深さによって変わってくると思います。虫歯はC0〜C4に分かれていてそれぞれ治療内容が異なってきます。

その中でもC1での治療判断に関しては難しく、積極的に治療をしたほうがいいのか予防で様子を見ていったほうがいいのかで分かれてきます。

当院では虫歯であることを一緒に確認し治療をするかしないかは相談しながら決めていくようにしています。

歯科医院で治療を行っている風景

虫歯の治療回数や費用

虫歯の治療内容と回数

虫歯の治療回数と内容は虫歯の進行度合いや虫歯になった位置でかなり変わってきます。

C0:経過観察orフッ素 1回
C1:経過観察 or CR or インレー(隣接面)
1〜2回
C2:CR or インレー 1〜2回
C3:抜髄、クラウン 4回以上
C4:抜歯、欠損補綴治療 4回以上

歯科医院で口腔内チェックを受けている様子

C0

健康状態の歯です。

経過観察が必要な程度の歯(C0)のイラスト

C1

歯の表層のエナメル質に限局した虫歯になります。

基本的には痛みなどの症状が出なく積極的に治療をする必要はないかと思います。

しかし虫歯は進行するとお痛みが出たり、最悪のケースでは歯を抜かなければいけなくなってしまうので、進行予防として早めに取りきり、CRと呼ばれるプラスチックで覆ってしまうのも一つの選択肢だと思います。麻酔もほとんどのケースで必要はありません。

歯の表層のエナメル質に限局した虫歯(C1)のイラスト

C2

エナメル質を越え、象牙質まで達した虫歯になります。

ここまで達してしまうと様々な刺激が神経に作用し痛みやしみが出ます。

範囲が狭ければCRでもいけますが、麻酔をして虫歯を取りきっていくと範囲が広く、型取りの詰め物になることがほとんどです。ここの状態で虫歯の進行を止める事が歯の寿命に大きく関わってきます。

エナメル質を越え、象牙質まで達した虫歯(C2)のイラスト
インレー

C3

象牙質を越え神経にまで虫歯が達してしまった状態です。

何もしなくてもズキズキするような痛みの場合はほとんどがこのC3という状態にまでなっています。

残念ながら神経を残すことは難しく、神経をとる治療になっていきます。神経をとった歯は脆くなってしまい寿命が短くなってしまうためそれ以前に虫歯の治療をすることをお勧めします。

象牙質を越え神経にまで虫歯が達してしまった歯(C3)のイラスト
根管治療 クラウン

C4

歯の頭の部分が虫歯により無くなってしまい、根だけが残った状態になります。

ここまでくると歯を残すこと自体が難しく、ほとんどのケースで抜歯になります。

歯をなくすと治療期間も金額も更にかかってしまいます。

根によっては部分矯正や小外科で歯を残すこともできる可能性があるためお悩みの方はご相談ください。

歯の頭の部分が虫歯により無くなってしまい、根だけが残った歯(C4)のイラスト
インプラント 入れ歯

それぞれ歯種、虫歯のなった位置でも変わってくるのであくまでも参考程度にしてください。

痛みに配慮した治療

虫歯治療は痛みを伴うもののため基本的には麻酔を行い治療していきます。しかしこの麻酔が痛くて虫歯治療を避ける方も数多くいらっしゃいます。

当院ではこの麻酔に特徴があります。針を刺す前に表面麻酔といって粘膜を痺れさせる麻酔を塗ります。しっかり痺れたことを確認したあとに、速度調節のできる電動麻酔器を使用して麻酔を細い針でゆっくり注入していきます。

ゆっくり注入することで痛みが軽減されると言われています。当院で使用している麻酔の針は35Gという認可されている中で最細の針を使用しています。

4つ葉のクローバーとダブルレインボーの画像
痛みへの配慮

虫歯治療の流れ

CR

虫歯の大きさにより麻酔をするかどうか変わってきます。まず虫歯を全て削ります。取り切れていることを確認した後プラスチックを流し込み固めます。高さの調節をし、問題なければ磨いて終わりになります。

インレー

インレーの治療は2日に分かれます。

1日目

麻酔をして虫歯を取りきります。詰め物が外れないような形に歯を整えます。
問題がなければ型取り、噛み合わせをとり、仮蓋をして終わりになります。型取りしたものは技工士さんに渡し、約1週間後に詰め物が出来上がって病院に送られてきます。

虫歯ができたために歯の一部分を削った歯のイラスト

2日目

仮蓋を外し中を綺麗に洗います。この際しみたり痛みが出るようなら麻酔をします。出来上がった詰め物を調整し接着剤でつけていきます。小さな詰め物をお口の中で取り扱うため落とした時には飲み込まないように注意してください。

接着剤でつけた後余剰の接着剤を綺麗に取りきり、高さを調整したら終わりになります。

虫歯により削った歯の一部分に白い詰め物を入れたイラスト

動画で見る:型取りの流れ

抜髄、クラウン治療

虫歯を取りきり、根管治療をした後に土台をたて、被せ物の型取り、装着と、かなり治療に回数期間を要します。
最低でも1ヶ月ほどはかかってきます。

抜歯、欠損補綴

残念ながら残せない歯に関しては抜歯となり、そこを補うための治療になっていきます。インプラント、入れ歯、ブリッヂ、移植と治療法は様々ありますがお口の中の状況、欠損した部位によって選べない治療法もあります。何を選んでも期間、金額がかかってきてしまいます。

虫歯の治療費

C0 フッ素、
クリーニング
約700円〜
1,000円
C1 フッ素、CR 約700円〜
1,000円
C2 CR、
インレー
保険内 
約1,000円〜
4,000円

保険外 
55,000円〜
110,000円
C3 抜髄 約4,000円
(根管治療
トータルで)
土台 保険内 
約1,000円

保険外 
16,500円~24,400円
クラウン 保険内 
約2,000円〜
10,000円
(部位、種類に
よって違いあり)

保険外 
66,000円〜
187,000円
C4 抜歯 約2,000円
入れ歯 保険内 
約10,000円

保険外 
385,000円〜
605,000円
ブリッヂ
(1歯欠損)
保険内 
約10,000円〜
15,000円

保険外 
1本66,000〜
187,000円
3本ブリッジの場合、198,000~561,000円(税込)かかります。
※ブリッジの本数や種類により金額が異なります。
インプラント 保険外 
440,000円〜495,000

※骨造成や歯肉移植など追加の処置は含まれていません。

虫歯の進行が進めば進むほど金額は高くなっていくため早めの治療をオススメしています。

料金表

虫歯治療のタイミング

虫歯治療のタイミングは非常に難しく、歯医者一人一人によって考え方が違うと思われます。痛みがあればもちろん積極的に治療していきますが、虫歯が深くても痛みがない時などは特に悩みます。

当院ではC2(C0〜C4に関しては後述します)以上の歯に関しては治療をお勧めしますが患者様と相談の元治療をスタートしていきますのでお気軽にご相談ください。

経過観察に関しては定期検診の度にレントゲンなどを撮り進行を見ていきます。都度進行状況は説明させていただきますので、その上で決めていただければと思います。

真っ白で綺麗な歯のイメージを手に載せている画像
クリーニング 通院頻度~何回も通うのはなぜ?~

虫歯治療のご相談

虫歯の治療だけではなく東松原歯科ではすぐに治療をすることは基本的にはありません。お痛みがあるなどは別ですが初診時に問診、資料を採らせていただき2回目に治療計画相談をした上で治療を開始していきます。

もちろん治療開始後からでも相談をお聞きしますのでご気軽にいらっしゃってください。

歯科医院スタッフに説明を受け、自分の歯を指さす女性

虫歯の原因やリスク

虫歯の原因

虫歯は様々な要素が合わさって初めて虫歯となります。

  1. 虫歯細菌
  2. 糖質(虫歯菌の食事)
  3. 歯の質(虫歯菌が住む環境)
汚れた歯の上で喜ぶ虫歯菌のイラスト

虫歯はミュータンス菌と呼ばれる細菌が原因です。

しかしこのミュータンス菌はほぼ全ての人のお口の中にいます。ミュータンス菌は糖を食事とし歯を溶かしていきます。つまり長い期間糖がお口の中にいる状態だとその分虫歯になるリスクが上がっていきます。

小さい頃よくお菓子を食べたらすぐに歯を磨きなさいと言われたのにはこのような理由があったからです。

また、歯軋り食いしばりにより歯と歯が擦れることによりマイクロクラックという目に見えないようなヒビが入ります。これにより歯と歯の間に虫歯が繁殖する場を与えてしまい気付いたら虫歯になっていたということがあります。

細菌、糖、お口の中の環境の3つの条件に時間が加わると虫歯は発生し進行していきます。

虫歯の主な原因4選

虫歯の予防にかかせない習慣

スポーツ選手は虫歯が多い!?

虫歯になりやすい歯って?

虫歯のリスク

虫歯は初期だとお痛みが殆ど出ず虫歯に気づかれない方も多いです。
しかし虫歯を放置してしまうと痛みが出るだけではなく、膿がたまり顎が腫れたり、蓄膿症、最悪抜歯になる可能性もあります。

顎をおさえる女性
予防歯科

虫歯を放置すると起こるリスク

虫歯を放置してしまうと最終的には抜歯になってしまうことが殆どです。そのため虫歯を放置すると様々なリスクが起こります。

綺麗な歯から虫歯を放置し黒くなった歯のイラスト
  1. 激しい痛み
  2. これは虫歯自体の痛み、進行し他が感染してしまった痛み、そこを庇うかのように他の箇所を使用する痛みなどがあります。

  3. 体力低下
  4. 虫歯により痛みがあったり、歯がなくなってしまうとまず食事をうまく摂る事ができません。そうなると栄養が取れず体力がなくなっていき、免疫が下がり体を壊してしまいます。食事を普通に食べれることは何よりも大事です。

  5. お口の中のバランスが悪くなっていく
  6. 全身でもどこかを痛めるとどこかがそれを庇い痛くなるという事が起きますがお口の中も同じです。1本歯を失うだけで他の歯がその分機能を補っていくため他の歯に負荷がかかり他の歯もダメになっていきます。
    また歯がないと他の歯が傾いたり、伸びたりしてしまうため歯並びもガタガタになっていきバランスが崩れます。

他にも全身に影響を及ぼしてしまうのが虫歯です。痛くないからといって放置するのはやめましょう。

虫歯の予防方法

虫歯の原因菌と予防方法

虫歯の原因菌はミュータンスレンサ球菌と言われています。このミュータンスレンサ球菌がプラークを餌とし、酸を出して虫歯を作っています。

1番の予防法は歯ブラシになります。また赤ちゃんの時のキスや口移しなどでお口の中の細菌の環境が変わってきますので可愛くてしたい気持ちはわかりますが控えるようにしてください。

歯ブラシと、フロス・うがい薬などのケア用品
  1. 歯ブラシ
  2. 赤ちゃんへの口移しなどをしない
  3. キシリトールガム
  4. フッ素
  5. 定期検診
小児歯科

虫歯になりやす人の特徴と原因

虫歯予防について考える

虫歯の原因は4つ!虫歯のでき方と、原因ごとの対策方法

虫歯になりにくい習慣を身につける

歯が抜ける前にやっておくべき
予防方法

虫歯の予防

虫歯予防の一番はセルフケアでの歯磨きになります。ご自身で日々プラークを落とし、定期的に歯科検診を受けることで虫歯予防はできます。

また夜寝ている間の歯軋りや日中の食いしばりにより歯が擦れることによって歯と歯の間にマイクロクラックと呼ばれるヒビが入り、そこに細菌が入って虫歯になると言われています。そのためナイトガード(マウスピース)をつけることによっても虫歯は予防されると言われています。

カレンダーの写真
ナイトガード

虫歯とプラークコントール

よく歯磨きを頑張っているけど虫歯ができると言われる方がいます。確かにプラークコントロールができているからといって虫歯ができないわけではありません。虫歯になるには色々な要素があります。

しかし虫歯菌はプラークを餌として酸を出し歯を溶かして虫歯にしていくためプラークコントロールにより虫歯リスクが低くなることは確かです。

綺麗な歯を出し笑顔の女性

虫歯対策にシーラント

シーラントとは虫歯予防におけるプラスチックで殆どCRと変わらないです。虫歯前に行うか虫歯後に治療として行うかの違いになります。

乳歯や生え変わったばかりの永久歯は脆弱で溝から虫歯になりやすい構造になっています。

シーラントはその溝をプラスチックで埋めて虫歯菌が入らないようにしていきます。

奥歯にある溝にシーラントと呼ばれる虫歯予防の材料を詰めたイラスト

基本的に削ることはなく、お薬でプラスチックがくっつきやすいようにして埋めるだけなので痛みなどを感じることなく歯医者が苦手な子供に対してとても有効的です。

小児歯科

虫歯予防キシリトールガム

キシリトールという言葉を知らない人はいないんじゃないでしょうか?虫歯予防の代表としてあげられるのがキシリトールになります。

キシリトールは「代用甘味料」と言われています。普通の甘味料は砂糖や果糖でそれを代用したものがキシリトールになります。

歯科医院専用のガムを持つ女性スタッフのイラスト

虫歯菌であるミュータンス菌は糖を餌として活発になり虫歯を引き起こしますがこの代用甘味料であるキシリトールはミュータンス菌の栄養素とならないため虫歯予防に有効な糖として活躍
します。

しかし取りすぎは良くありません。キシリトールは摂取しすぎるとお腹を下し下痢をしやすくなる事が伝えられてます。何事も適度がいいですね。

妊娠中の虫歯治療の関して

妊娠中はホルモンバランスの影響によりお口の中の環境は常に不安定です。また、歯周病はお腹の中の赤ちゃんにも影響を与えます。
しかし、妊娠中でも虫歯の治療は可能です。体に負担がかかりますので、適切な時期に治療を受けることが大切になります。
妊娠中期(妊娠16週〜27週)頃であれば、一般的な歯科治療は受けられることが多いです。
治療内容によっては出産後に治療をした方が良い場合もある為、担当医との相談は必要です。

動画で見る:妊娠中の治療

ホワイトスポットとは?

気が付いたら歯の表面に白い斑点模様ができていた、といったことはありませんか?
歯の表面にできた白い斑点は「ホワイトスポット」と呼ばれ、大きさや形は人によってさまざまです。
ホワイトスポットは目立つ前歯の部分にできることも多く、気になってコンプレックスとなってしまう場合がよくあります。
ホワイトスポットの原因や治療法についての動画です。

虫歯治療の症例

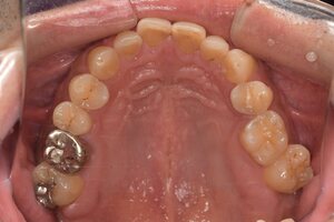
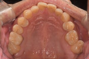
CASE 1

Before

After

基本情報

年齢・性別 51歳・男性
主訴 主訴:以前右上虫歯があると言われ、気になっている。
部位:右上6番、右上7番
治療内容 右上6番オールセラミッククラウン
右上7番セラミックインレー
治療期間 1ヶ月
治療費 オールセラミッククラウン 121,000円
セラミックインレー 60,500円
合計 181,500円
(2025年1月現在)
リスク・副作用 ・セットした直後はかみ合わせが高い、きついなどの違和感を覚えることがあります。1週間位で慣れる方がほとんどですが、気になる場合は調整致します。
・神経を残して削った場合は、しみることがあります。虫歯を残しているわけではなく、歯を削ったために神経までの距離が近くなっている事が原因です。
・破折や脱離のリスクがあります。リスクを下げるためにもナイトガード(マウスピース)のご使用をお願いします。
治療方針 右上6番7番共に、詰め物被せものの中で虫歯になっていることが認められたので、まず詰め物被せものを除去し、虫歯を取り除いた後、型どりを行い、セラミックインレーおよびセラミッククラウンをそれぞれセットしました。
特記事項 上の歯で奥歯だし目立たないから銀の詰め物で良いかと思っていた以上が、再度虫歯にならないためにセラミックをいれてみたところ、噛み心地も自然で、歯ブラシを行った時に汚れがきちんと落ちるような感じがしましたとのことです。
虫歯治療についてよくある質問

東松原歯科 診療内容

患者様のお悩みを解決する
総合診療の東松原歯科

虫⻭治療から⻭を失ってしまったかたへのインプラント、入れ⻭、美しい⻭を実現する審美⻭科(⻭のセラミック)やホワイトニングまで、総合診療を提供しております。

急な痛み、つめ物が取れた・外れた等、お口の中に困りごとがありましたら、お気軽にご相談ください。