インプラントをする前の
歯周病治療の大切さ

歯周病治療の大切さについて

歯科医院で口腔内チェックを受けている様子

歯がなくインプラントを検討している方がいらっしゃると思います。しかしインプラントをするためには土台となる骨、歯茎の状態が良くないとできません。そのため歯周病の方はインプラントをする前に歯周病治療をしなければなりません。

歯周病がインプラントに
及ぼす影響

歯周病とは歯の周りの組織である歯茎や骨が病気になっている状態です。歯周病により骨は溶け、歯茎は炎症で腫れ更にプラークが溜まってしまう環境を作ります。

まず骨がなければインプラントを打つことが出来ませんがインプラント治療を行なった後も歯周病の状態が悪いとせっかくくっついた骨を溶かしインプラントが脱離してしまいます。脱離してしまったところに再びインプラントを打つことはかなり難しくなります。

インプラント治療を行う上で歯周病治療はマストになり、インプラント治療を行なった後も歯周病予防の治療は必要になってきます。

歯の組織とインプラントの構造の断面図のイラスト

インプラントは虫歯になる?
歯周病になる?

インプラントをされた方でもう大丈夫と思われている方が多くいますがインプラントは治療前よりも治療後の方がケアをしなければいけません。ご自身の歯を失っている以上インプラントも失う可能性があるということです。

インプラントは虫歯にはなりません。虫歯は天然の歯しかならないですが歯周病はインプラントもなります。

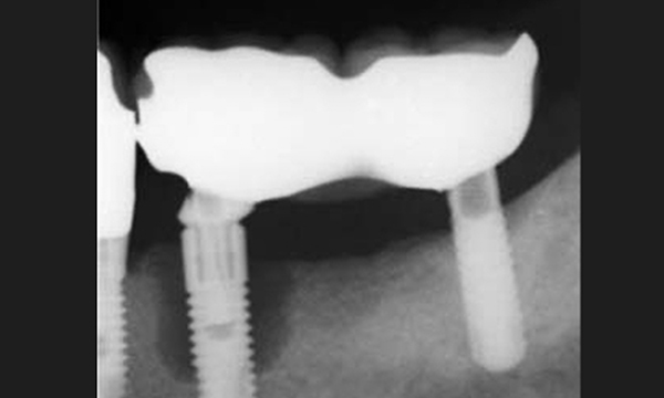
インプラントの歯の部分的なレントゲン写真

インプラントの周囲を清潔に保てないとまず歯茎が炎症を起こし、そこに更に汚れがたまることにより歯周病は進み骨まで溶かしていきます。
一度インプラントが歯周病になると治療は難しいです。

初期であればクリーニングで進行が止まり少し人工の骨を足すことでリカバリーができますが、重度になるとインプラント周囲の骨はなくなりぐらぐらインプラントが動揺します。ここまでくるとインプラントを取らなければなりません。
そこには骨がなく感染した組織があるためインプラントを再度打つことは難しくなります。

タバコと歯周病と
インプラントの関係

タバコはまず歯周病とインプラント治療における大敵になります。
タバコは血流を悪くすると言われています。歯茎や骨には血液の供給がしっかりしていないとしっかりとした組織は作れないためタバコを吸われてる方は歯周病治療、インプラント治療を難しくしてしまいます。
そのためもし歯周病治療やインプラント治療を真剣に考えられている方には禁煙をしていただきます。

火のついたタバコの写真