歯の移植手術

歯の移植手術とは

歯の移植手術とは、虫歯や歯周病、外傷などで失った部分に噛み合わせに機能していない歯を移し入れる治療方法です。
親知らず(あるいは不必要な歯)を移植することが多く、基本的に保険適用で治療を受けることができます。(お口の中の状況により、保険適用外となるケースもあります)

歯の移植手術のメリット・デメリット

歯の移植手術のメリットとしては、義歯やブリッジ、インプラント治療など、歯の欠損部位を補う治療を回避できる可能性があることです。
義歯やブリッジ、インプラントなどの治療に問題があるということではありませんが、自身の歯を利用し機能を補うことができることは歯の移植のメリットです。

デメリットとしては、一時的に外科的な侵襲が加わることや、患者さまの年齢や歯の状態により成功率、長期的な予後が左右されることなどが挙げられます。
また、インプラントなどと異なり天然の歯である以上、う蝕や歯周病、破折が生じる可能性もあります。

歯の移植手術の優位性を左右する因子

歯の移植手術を検討する場合、他の治療法(インプラント、義歯、ブリッジ、矯正など)と比較して利点(機能、時間、費用、予知性)があると判断される必要があります。
歯の移植手術の優位性を左右する因子について挙げます。

①患者さまの持つ因子

  • おおむね40歳以下(比較的成功率が高いとされている)
  • 糖尿病などの全身疾患を有していない
  • 喫煙をしていない

②移植する歯の持つ因子

  • 凹凸の少ない先細りの形態である
  • 歯根の数が1本である

*歯根が分岐していたり、湾曲している場合、抜歯や移植の際に歯を傷つけやすく、また移植後の治癒にも異常をきたす可能性が高いです。

③移植される部位の持つ因子

  • 移植する歯を植立できる骨の幅と高さを有する
  • 移植歯を閉鎖するのに十分な歯肉がある
  • 炎症がなく、健全な治癒が期待できる

歯の移植の治療の流れ

  1. 受容側の抜歯
  2. ①と同時、あるいは約1ヶ月以内を目安に移植手術
  3. 固定
  4. ②から2週間を目安に根管治療の開始
  5. 治癒の確認(数ヶ月)
  6. 歯冠修復

① 受容側の抜歯

② ①と同時、あるいは約1ヶ月以内を目安に移植手術

③ 固定

④ ②から2週間を目安に根管治療の開始

⑤ 治癒の確認(数ヶ月)

⑥ 歯冠修復

症例

基本情報

年齢・性別 20代・女性
主訴 右上の奥歯が痛い
治療内容 右上6抜歯、右下8埋伏抜歯→右上6へ移植。
移植歯の根管治療後、治癒を確認し歯冠修復を行った。
治療費 保険診療 合計約15,000円
(CT画像撮影、埋伏智歯の抜歯、移植手術、移植歯の根管治療)

自費診療 合計140,800円
■内訳
・ファイバーコア:16,500円
・仮歯:3,300円
・オールセラミッククラウン:121,000円
(2024年4月現在)
治療期間 約1年
リスク・副作用 移植歯が生着せず、抜去が必要になることがあります。
移植手術後、疼痛や出血が継続することがあります。
移植歯に歯周ポケットや動揺が残存する可能性があります。

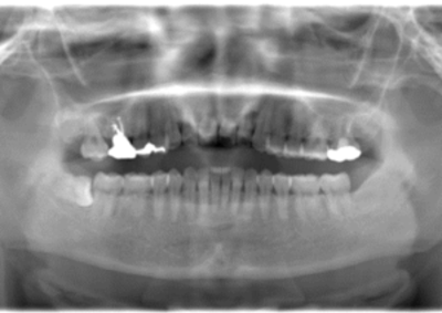
初診時レントゲン(パノラマ)

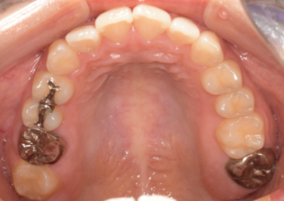
初診時口腔内写真

初診時パノラマX線写真と口腔内写真。
右上6に腫脹と排膿がみられた。

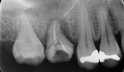
初診時デンタルX線写真

初診時CT画像

初診時デンタルX線写真とCT画像。
根管外に不透過像とそれを取り囲む透過像を認める。

コアを除去すると、分岐部へつながるパーフォレーションを認めた。
これが排膿の原因であったため、保存は困難と判断した。

抜歯予定の歯と移植予定の歯

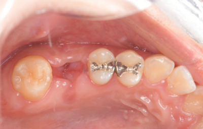
右上6抜歯後

右上6(青丸)を抜歯し、右下8(赤丸)を移植することを計画した。
右上の抜歯後の治癒を待つため、抜歯の1ヶ月後に移植を行うこととした。

抜歯1ヶ月後

移植手術後

右上6抜歯1ヶ月後、移植手術を行った。
右下8を抜歯し右上6部に移植、縫合糸で固定した。

移植手術後、治癒に異常を認めなかったため、移植2週間後に根管治療を行った。

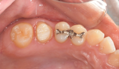
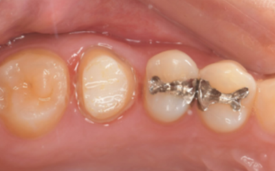
移植3ヶ月後の口腔内写真

移植手術3ヶ月後のレントゲン画像

移植3ヶ月後。
歯根周囲に透過像を認めるが動揺などはなく、歯周ポケットも形成されていなかった。

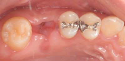
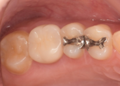
移植12ヶ月後の口腔内写真

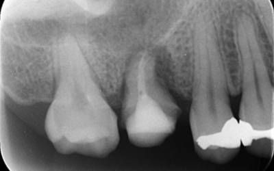
移植12ヶ月後のレントゲン

移植12ヶ月後。セラミッククラウンで歯冠を修復した。
デンタルX線写真では透過像もほぼ消失している。

移植12ヶ月後のCT画像①

移植12ヶ月後のCT画像②

移植12ヶ月後。CT画像では、歯根周囲に骨が形成されていることが確認できる。
患者さまは特に違和感なく快適に過ごされているとのこと。

Before

After

抜歯後

After