予防歯科で歯周病対策しよう

はじめに

歯周病は気づかないうちに進んでしまい、気づいたときには歯ぐきが下がり、痛みが生じる、強い口臭があるなどの症状が出ます。
最悪の場合、歯が抜けてしまうことも。 そのような結果を招かないよう、日頃から予防歯科で歯周病対策していくことがとても大切です。

本記事では、予防歯科と歯周病対策について紹介していきます。「そろそろ歯周病対策したほうがよいかも…」このように考えている方は、是非とも参考にしてください。

歯周病により揺れが強くなってしまった歯のイメージイラスト

歯周病とは何か?

歯ぐきから出血をしているイメージイラスト

歯周病とは、歯と歯ぐき周りの組織に炎症が起こる慢性的な口腔疾患の一つです。歯周組織が炎症を起こし、歯の周りの歯ぐきや歯を支えている骨が溶けてしまう病気です。進行すると歯と歯ぐきの間に深い溝(歯周ポケット)ができます。歯周ポケットの中で細菌が増殖し、歯周病はさらに悪化します。

細菌が食べかすなどを分解する過程で強い臭いがするガスが発生するため、口臭の原因にもなります。

歯周病

歯周病の症状

歯周病は進行性の疾患であり、初期段階では症状がほとんど現れません。しかし放置していると徐々に症状が悪化します。一般的な歯周病は、次のような症状があります。

  1. 歯ぐきが腫れ上がり、赤くなる
  2. 歯磨きや食事の際、歯ぐきから出血がある
  3. 歯ぐきを押すと血や膿が出る
  4. 強い口臭がある
  5. 歯ぐきが下がって歯の根が露出する
  6. 歯がグラグラする
  7. 強い口臭がする

歯周病の症状

歯周病の原因

歯周病の原因は、細菌の塊である歯垢(プラーク)です。プラークとは、食べかすが口の中で残り、細菌が繁殖して約8時間(※)で歯の表面に白くネバネバした塊になります。歯磨きが不十分な場合、プラークが歯や歯ぐき、歯周ポケットに溜まります。

細菌は空気に触れない歯周ポケットを好みます。また、歯周ポケットは歯ブラシが届きにくいのでプラークを取り除けず、増殖し細菌の温床となります。その結果、歯ぐきは細菌の毒素によって炎症を起こし、歯周病の症状が現れるのです。

引用元:プラーク/歯垢(厚生労働省e-ヘルスネット)

歯周病を放置するリスク

歯周病を放置すると炎症は広がり、顎の骨を溶かすため歯がグラグラになり、最終的には顎の骨が歯を支えられなくなるため、歯が抜けます。歯周病の症状が進むほど、細菌が発するガスや膿が原因で強い口臭を発するようになり、人とコミュニケーション取ることを憂鬱に感じる方もいます。

また、歯周病の怖さは歯を失うだけではなく、全身疾患にも大きな影響をもたらします。糖尿病や心疾患、脳梗塞、誤嚥性肺炎、認知症などです。歯周病を治療し、予防歯科で状態の維持・向上すると、お口だけでなく、身体の健康を守ることにつながります。

歯周病のリスク

歯周病に対する予防歯科の目的と効果

歯周病の予防は、原因であるプラークを除去しなければなりません。
予防歯科の取り組みによって、プラークや歯石を徹底的に除去し、歯周病を予防します。

超音波の振動で汚れを落とすイメージイラスト

予防歯科の目的

予防歯科とは、虫歯や歯周病などの口腔疾患になってから治療するのではなく、長期的な予防を目的としています。お口の健康を保つことは、全身の健康を保つことへつながり、とても大切な役割を担っています。

予防歯科は、日常的に自分で取り組む歯磨きなどのセルフケアと、歯科医師や歯科衛生士が提供する歯科クリニックでのプロフェッショナルケアの両方を含みます。

歯周病における予防歯科の効果

予防歯科を継続すると歯周病のリスクを低減し、進行を抑える効果があります。定期的に歯科医師や歯科衛生士による検査や診断を受けることにより、歯周病の進行の早期発見・早期治療が可能となり、重症化を防げます。また、多くの方が悩まれている歯周病による口臭の低減も期待できるでしょう。

歯周病が重症化して歯がグラグラになってしまった場合や下がってしまった歯ぐきは、元に戻すことはできません。初期の段階で歯周病治療を進めることが大切です。

予防歯科の具体的な歯周病対策

予防歯科での歯周病対策とは、どのような対策をするのでしょうか。ここからは具体的な取り組みを紹介します。

日常的に取り組むセルフケア

予防歯科ではセルフケアの取り組みを重要視しています。
毎食後の歯磨きでプラークや食べかすを除去して、歯周病を予防します。
特に歯と歯の間や歯周ポケットは、歯ブラシが当たりにくいため、歯間ブラシやデンタルフロスの使用が有効です。
また歯ブラシや歯磨き粉は、歯周病の方を対象としたものを使うとよいでしょう。

歯磨きをする助成

予防歯科として、歯科クリニックでは歯磨き指導をしており、自分に合ったデンタルケアグッズの提案や使用方法、自分の磨き方の癖などさまざまなアドバイスを受けられます。アドバイスをもとにより適切なセルフケアが可能になります。

口腔内のプラークを除去し、清潔に保つことが歯周病対策でとても大切です。

歯科クリニックでのプロフェッショナルケア

歯科クリニックで受けるプロフェッショナルケアでは、プラークと歯石を徹底的に除去します。
歯石やプラークは、歯ぐきより上の部分についているものと、歯ぐきより下の歯周ポケットの奥深くについているものがあります。
歯ぐきより下についている歯石は硬く、歯にがっちりとついているのが特徴です。その歯石を取らなければ、さらにプラークが付着して、歯周病が悪化します。

歯科医院の歯のクリーニング専用の機械で歯を磨かれている様子

毎日のセルフケアでは、落としきれない部分をしっかり除去すると、歯ぐきの状態が改善されます。歯石とプラークを除去し、研磨すると歯面はツルツルの状態になり、プラークがつきにくくなります。

生活習慣のアドバイス

予防歯科では、生活習慣のアドバイスもしています。歯周病は体の免疫力が下がると、細菌の力が強くなり、歯ぐきが腫れることや出血することがあります。規則正しい生活は身体の免疫力を下げないためにも大切です。
喫煙や飲酒、睡眠不足などさまざまな要因が重なり歯周病を悪化させることがあります。生活習慣についての具体的なアドバイスを受けることで、歯周病を予防します。

笑顔で問診をとる女性スタッフ

本当は怖い歯周病!進行を防ぐためにできること

予防歯科で歯周病対策を継続する重要性

歯科医院で口腔内チェックを受けている様子

予防歯科の歯周病対策は、長期的な継続が大切です。歯周病が一時的に改善したとしても、プラークや歯石はすぐにお口の中に現れ、取り除かなくてはすぐに歯周病が進行します。

毎日のセルフケアをコツコツと続け、歯ブラシやフロスを使った正しい歯磨きを習慣化しましょう。歯科クリニックでのプロフェッショナルケアは、一般的に3ヵ月に一度受けるとよいとされています。歯周病の進行具合やお口の中の清掃状態により、1ヵ月に一度や2ヵ月に一度と受診頻度が異なります。歯科クリニックでのプロフェッショナルケアもスケジュール化できるよう、歯科クリニックへ行った際は次回のケアの計画も立てましょう。

虫歯になりにくい習慣を身につける

予防歯科でお口の中を清潔に保とう!

細菌の塊であるプラークは時間がたつと歯石になり、さらにプラークが付着しやすくなります。歯ぐきに炎症が起きることで、歯周病は徐々に進行します。痛みがないので気がついたときには歯を支える骨がなくなってしまい、歯がグラグラになってしまうことがあるため注意が必要です。

口の模型を前にする歯科医師

毎日の丁寧な歯磨きでお口の中を清潔に保ち、定期的な歯科クリニックでのプロフェッショナルケアによって、落としきれないプラークや歯石を徹底的に除去することは、歯周病対策として大きな効果を得られます。お口と身体の健康を保つためにも、まずは歯科クリニックで歯周病について相談してみましょう。

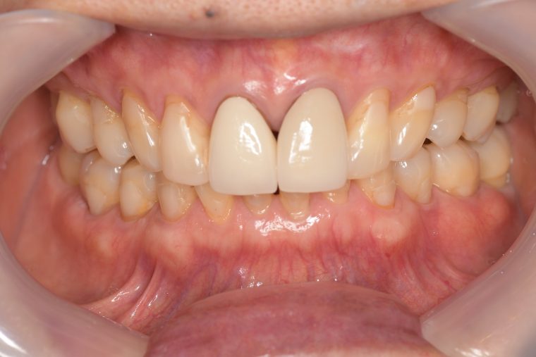
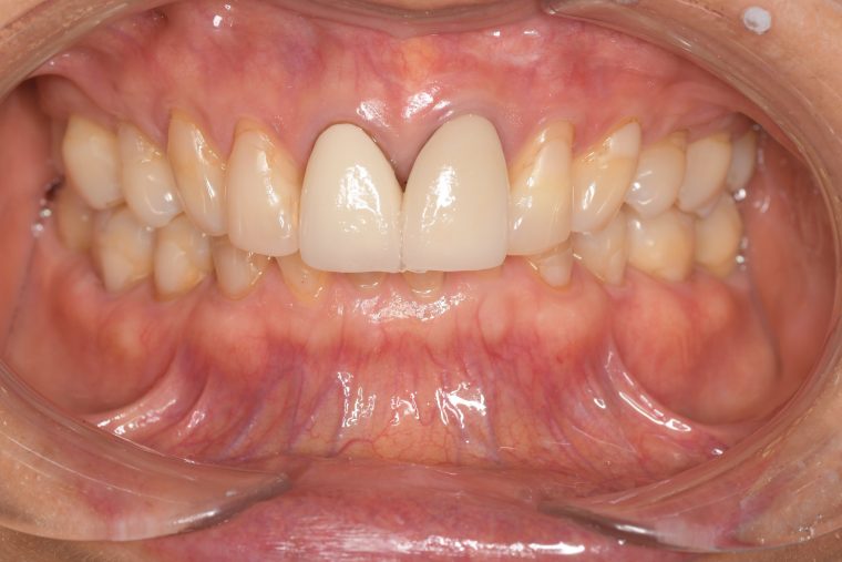
症例

CASE 1

Before

症例

After

症例

歯周病検査(治療前)

症例

歯周病検査(治療後)

症例

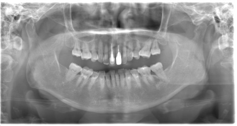
レントゲン写真

症例

基本情報

年齢・性別 75歳・女性
主訴 主訴:左上奥の歯ぐきが腫れた
治療部位:左上下奥歯、右下奥歯
治療内容 1.歯周ポケット検査、歯磨き指導、抗生物質塗布
2.縁上の歯石除去
3.縁下の歯石除去
4.再評価
5.定期検診(3ヶ月おき)
→内容:口腔内写真、歯周ポケット検査、歯磨き指導、歯石除去、着色除去(PMTC)、フッ素塗布、ドクターによる虫歯のチェック、ナイトガードのチェック
治療期間 3ヶ月
治療費 定期検診の合計:3,210円(保険診療3割負担)
(2022年8月現在)
リスク・副作用 定期検診は個人によって期間を変えています。
ご自身での管理が困難な方や歯周病や虫歯のリスクが高い方は1ヶ月おきにクリーニングをしています。
その都度患者さまとご相談させて頂いた上で期間を決めさせて頂いています。
治療方針 1.歯周ポケット検査、歯磨き指導、抗生物質塗布
2.縁上の歯石除去
3.縁下の歯石除去
4.再評価
5.定期検診
特記事項 ・65年前に矯正治療をしてから歯をずっと大切にしてきたので、なるべく抜歯はしたくない。
・上の前歯は10年前にお孫さんがぶつかってきて、神経の治療をした。
・食いしばりをする癖がある為ナイトガード(夜間につける歯を保護するマウスピース)を作製し使用して頂いている。
担当者所見 左上は歯ぐきがかなり腫れていたが、歯石除去とホームケア(歯ブラシ、歯間ブラシSサイズ、ミクリンタフトブラシ)と抗生物質(軟膏)により腫れが落ち着いた。
それに加え、過度な力がかからないよう、ナイトガードを毎日使って頂くことと、日中の食いしばりにも気をつけてもらうようにした。
これは上の前歯を守るためのものでもあるので、必ず使用して頂いています。(上の前歯は神経がない為栄養が行き届かないので神経がある歯に比べ脆く根っこにヒビが入りやすい)
そして現在は定期検診で毎回異常がないか確認し、ホームケアではなかなか届かない歯周ポケット内のクリーニングを行っています。一度骨が溶けてしまっている為、歯周ポケットは残りますが、その後再発することは今のところなく、定期検診で今後もしっかり管理していきます。